本日、歯の表面がザラザラされて気になるとのことで、新規の患者様がご来院されました。
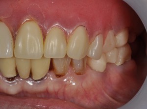
拝見させていただきましたところ、写真でわかるように下の歯の前歯の先端がザラザラされておりました。
表面がザラザラしてしまう原因は色々ありますが、こちらの患者様の場合はご自身のくいしばりが原因でございました。
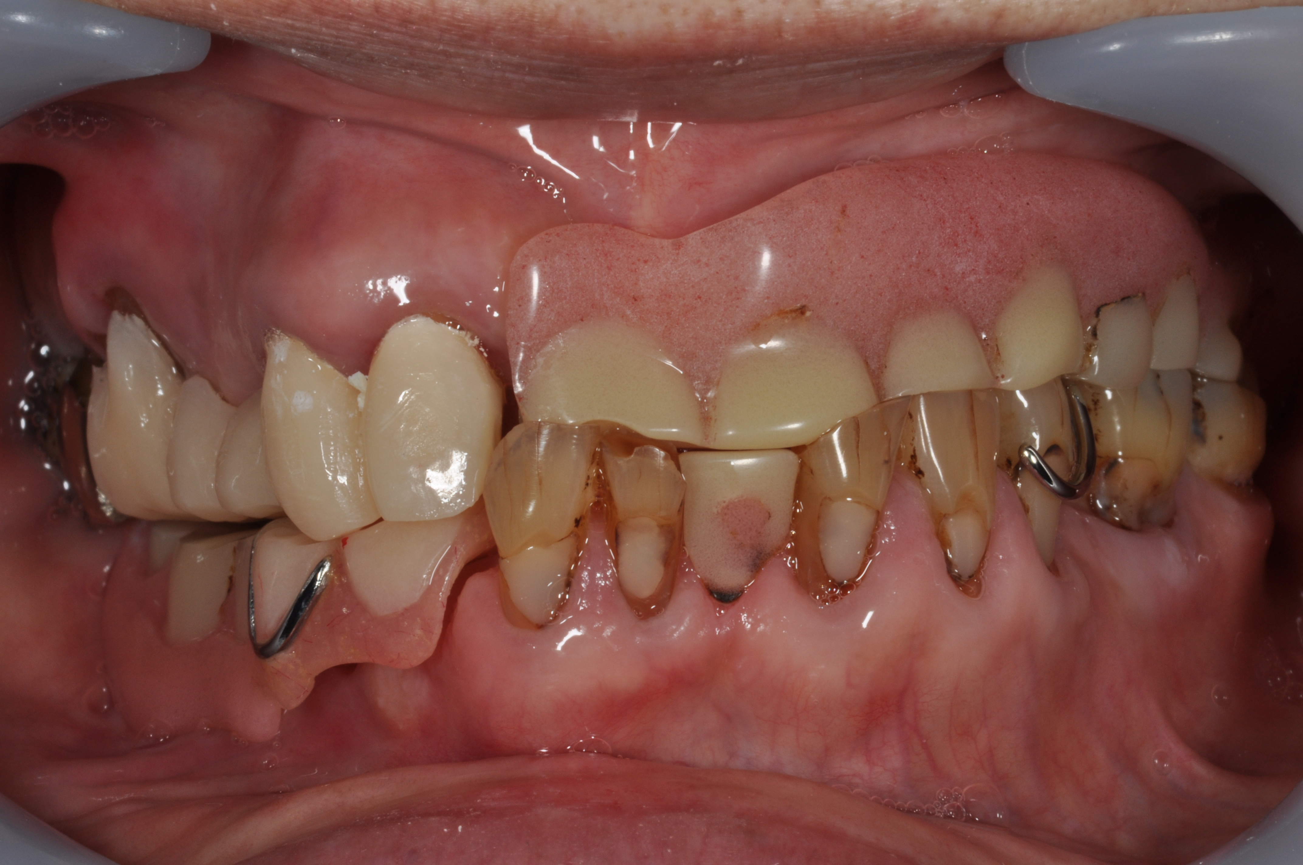
上のの写真では、しっかりと噛み合わせた上下の歯の写真ですが、長年使っている奥歯の磨耗などのすり減りで、前歯に負担がかかり、その結果として上下の前歯の同士の擦れにより、前歯の先端が磨耗してザラザラしてしまったようです。
治療としてはこちらの患者様の場合はそのままシリコンと呼ばれる柔らかいゴムのドリルで優しく磨いてツルツルに仕上げました。しかし、くいしばりの原因が今回のザラザラした結果を生じさせているため、寝てる間にマウスピースを入れていただくようにご提案させていただきました。
マウスピースはシリコンと呼ばれるとても柔らかい素材を使用して作成するため、ほとんどの患者様が就寝時にも気にならないで睡眠できます。
今回の治療のシリコンのマウスピースは保険適用で治療が可能となっております。
投稿日: 2019年6月21日 カテゴリ:予防歯科, 噛み合わせ治療(咬合治療), 歯ぎしり































