平成24年9月7日
こんにちは千葉県船橋市本町のベリーデンタルクリニックの歯科医師の久保です。9月ももう半ばですがまだまだ夏日が続いております。体調管理には気をつけていきたいと思います。
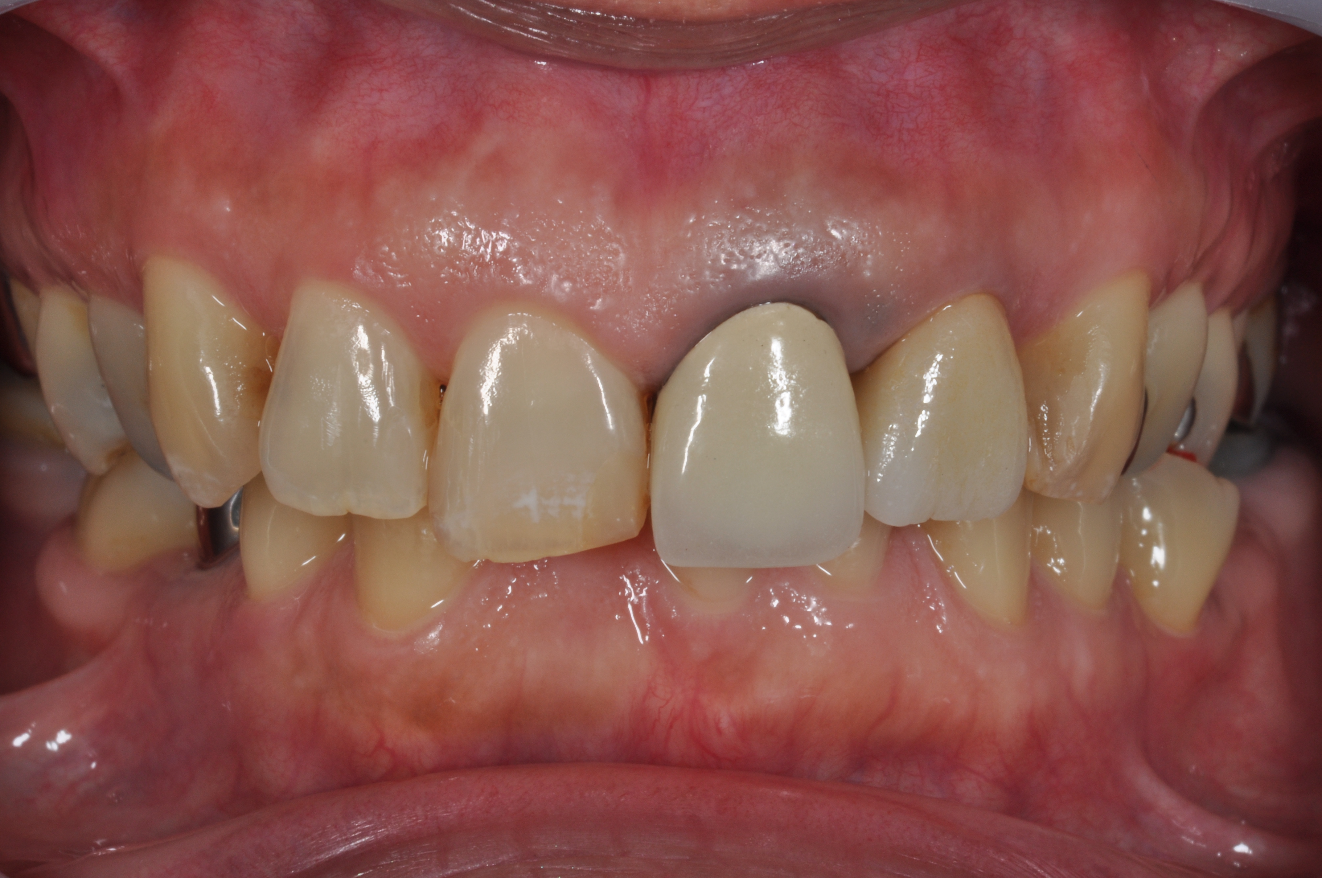
本日は約1年位前より噛み合せの治療をさせて頂いた患者様の治療がようやく終了されて、メンテナンスとしてチェックを行いました。
1年程前の初診時のときに口腔内検査、レントゲン検査、歯形の模型など使用して治療計画を説明させて頂きました。
歯を抜歯しなければいけない歯や、神経治療をしなければいけない歯、そして咬み会わせに必要な治療方法とその治療期間と費用等を説明させて頂きました。
以前とは見違えるように綺麗になりました。そして何より噛み合わせの治療によって口元をはじめお顔全体が若返りましたととても喜んで頂きましたのでとても良かったです。
後はこの状態をできるだけ維持していく為に月1回のチェックと調整、歯のクリーニングなどをはじめとする歯周病予防のメンテナンスをして頂くことになりました。
投稿日: 2012年9月13日 カテゴリ:噛み合わせ治療(咬合治療), 審美治療










































